Accueil
Club Thorax
Mot du président
Membres du bureau
Historique Club Thorax
Statuts
Éditoriaux
En savoir plus
Actualités
Actualités
Évènements à venir
Anciens évènements
Calendrier
Médiathèque
Cas cliniques
Anatomie
Asthme/BPCO
Cœur
Vaisseaux thoraciques
Congénital
Trachée et bronches
Iatrogène
Infectieux
Médiastin
Oncologie
Paroi thoracique /diaphragme
PID / vascularite / connectivite
Plèvre
Transplantation
Urgences thoraciques
Interventionnel
Pédiatrie
Technique / IA
Cours
Anatomie
Asthme/BPCO
Cœur
Vaisseaux thoraciques
Congénital
Trachée et bronches
Iatrogène
Infectieux
Médiastin
Oncologie
Paroi thoracique /diaphragme
PID / vascularite / connectivite
Plèvre
Transplantation
Urgences thoraciques
Interventionnel
Pédiatrie
Technique / IA
Congrès replay
Cliché du Mercredi
Galerie
Connexion
Contact
Quiz
QUIZ N° 001
Accueil
Liste des Quiz
Quiz
Défiler vers le bas
1 / 5
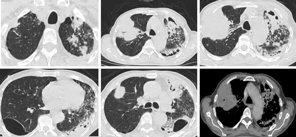
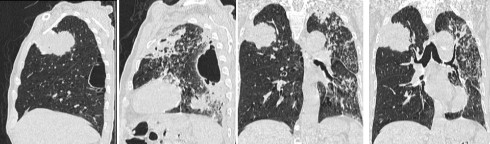
Homme, 80 ans, tabagique et hypertendu;
Installation progressive depuis 2 mois: dyspnée, toux, bronchorrhée et amaigrissement.
2 / 5
3 / 5
4 / 5
QUEL EST VOTRE DIAGNOSTIC ?
5 / 5
A – COP
B – Broncho-pneumopathie bactérienne
C – Broncho-pneumopathie bactérienne avec abcès pulmonaire
D – Tumeur bronchique avec localisation controlatérale
E – Coexistence tumeur bronchique et tuberculose pulmonaire
Pour participer à ce quiz, veuillez vous connecter.
Se connecter
❮
❯