Accueil
Club Thorax
Mot du président
Membres du bureau
Historique Club Thorax
Statuts
Éditoriaux
En savoir plus
Actualités
Actualités
Évènements à venir
Anciens évènements
Calendrier
Médiathèque
Cas cliniques
Anatomie
Asthme/BPCO
Cœur
Vaisseaux thoraciques
Congénital
Trachée et bronches
Iatrogène
Infectieux
Médiastin
Oncologie
Paroi thoracique /diaphragme
PID / vascularite / connectivite
Plèvre
Transplantation
Urgences thoraciques
Interventionnel
Pédiatrie
Technique / IA
Cours
Anatomie
Asthme/BPCO
Cœur
Vaisseaux thoraciques
Congénital
Trachée et bronches
Iatrogène
Infectieux
Médiastin
Oncologie
Paroi thoracique /diaphragme
PID / vascularite / connectivite
Plèvre
Transplantation
Urgences thoraciques
Interventionnel
Pédiatrie
Technique / IA
Congrès replay
Cliché du Mercredi
Galerie
Connexion
Contact
Quiz
QUIZ N° 011
Accueil
Liste des Quiz
Quiz
Défiler vers le bas
1 / 5
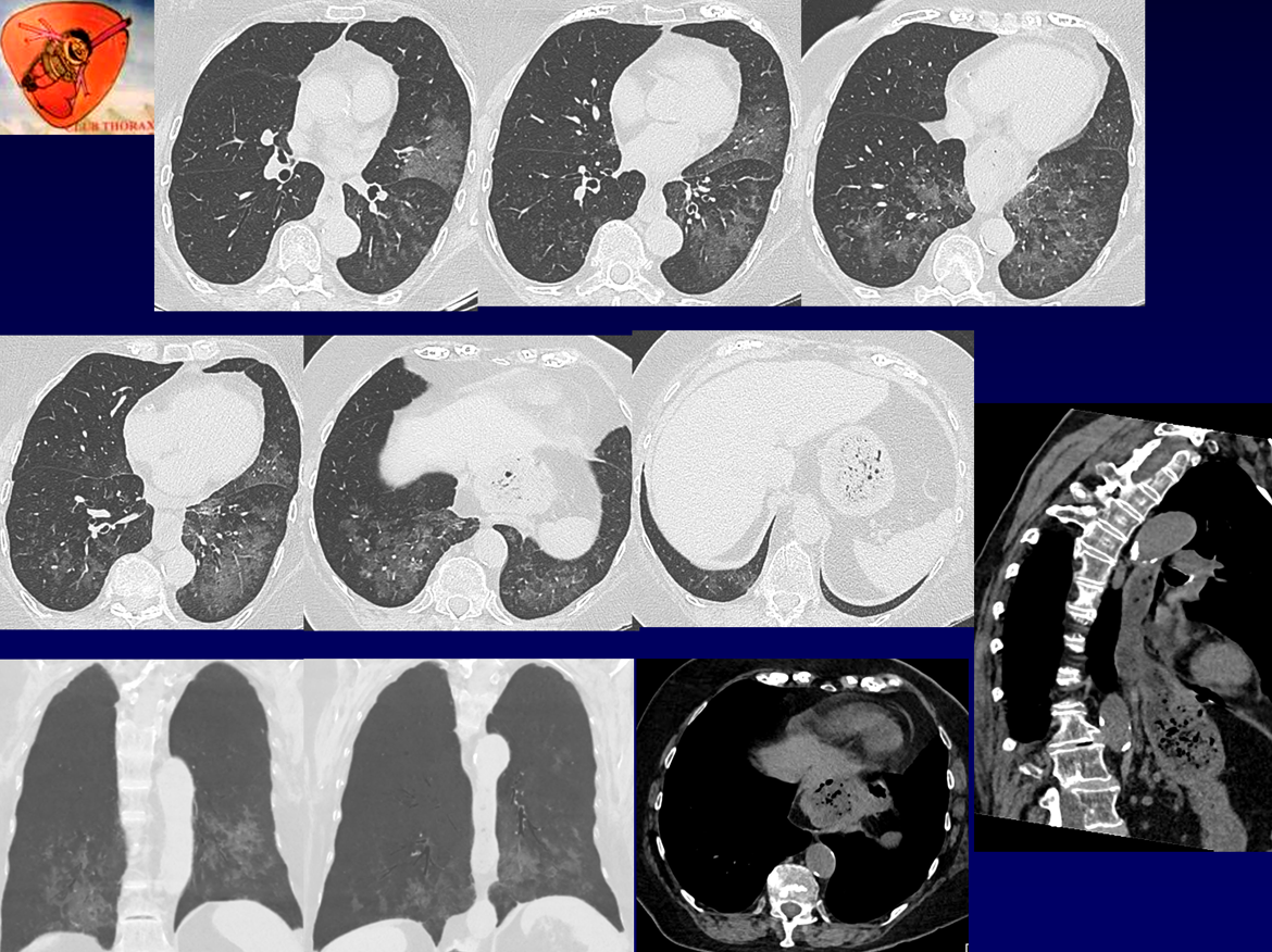
F, 76 ans, toux chronique.
ATCD: Volvulus gastrique opéré en 2017
RGO: Inexium - Gaviscon
EFR: TVO, VEMS à – 22%, Tiffeneau 72%, CPT et DLCO Nles
2 / 5
3 / 5
4 / 5
QUEL EST VOTRE DIAGNOSTIC ?
5 / 5
A – PINS
B – PHS pneumopathie d’hypersensibilté
C – PO pneumopathie organisée
D – Pneumopathie lipidique & RGO
E – Sarcoïdose & RGO
Pour participer à ce quiz, veuillez vous connecter.
Se connecter
❮
❯