Quiz
QUIZ N° 012
1 / 5
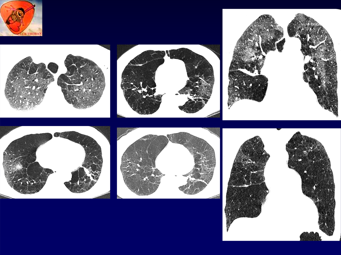
Femme , 76 ans, non tabagique
ATCD: PR traitée depuis 4 ans par du plaquenil, problèmes respiratoires dans l’enfance et dans la famille, asthme depuis 35 ans. Mélanome dorsal opéré à 2 reprises (2022).
Examen: thorax distendu, MV aboli.
RT: hyperclarté , distension, gracilité vasculaire des LI.
EFR:
Tiffeneau = 28%
VEMS 30% (0,5L)
VR 3,5 L (159%)
Désaturation effort++
ATCD: PR traitée depuis 4 ans par du plaquenil, problèmes respiratoires dans l’enfance et dans la famille, asthme depuis 35 ans. Mélanome dorsal opéré à 2 reprises (2022).
Examen: thorax distendu, MV aboli.
RT: hyperclarté , distension, gracilité vasculaire des LI.
EFR:
Tiffeneau = 28%
VEMS 30% (0,5L)
VR 3,5 L (159%)
Désaturation effort++
2 / 5
3 / 5
4 / 5
QUEL EST VOTRE DIAGNOSTIC ?
