Accueil
Club Thorax
Mot du président
Membres du bureau
Historique Club Thorax
Statuts
Éditoriaux
En savoir plus
Actualités
Actualités
Évènements à venir
Anciens évènements
Calendrier
Médiathèque
Cas cliniques
Anatomie
Asthme/BPCO
Cœur
Vaisseaux thoraciques
Congénital
Trachée et bronches
Iatrogène
Infectieux
Médiastin
Oncologie
Paroi thoracique /diaphragme
PID / vascularite / connectivite
Plèvre
Transplantation
Urgences thoraciques
Interventionnel
Pédiatrie
Technique / IA
Cours
Anatomie
Asthme/BPCO
Cœur
Vaisseaux thoraciques
Congénital
Trachée et bronches
Iatrogène
Infectieux
Médiastin
Oncologie
Paroi thoracique /diaphragme
PID / vascularite / connectivite
Plèvre
Transplantation
Urgences thoraciques
Interventionnel
Pédiatrie
Technique / IA
Congrès replay
Cliché du Mercredi
Galerie
Connexion
Contact
Quiz
QUIZ N° 014
Accueil
Liste des Quiz
Quiz
Défiler vers le bas
1 / 5
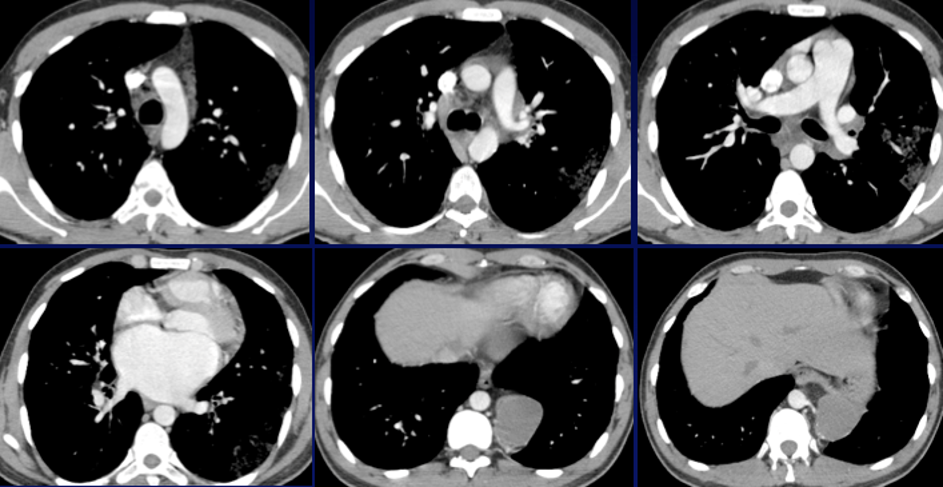
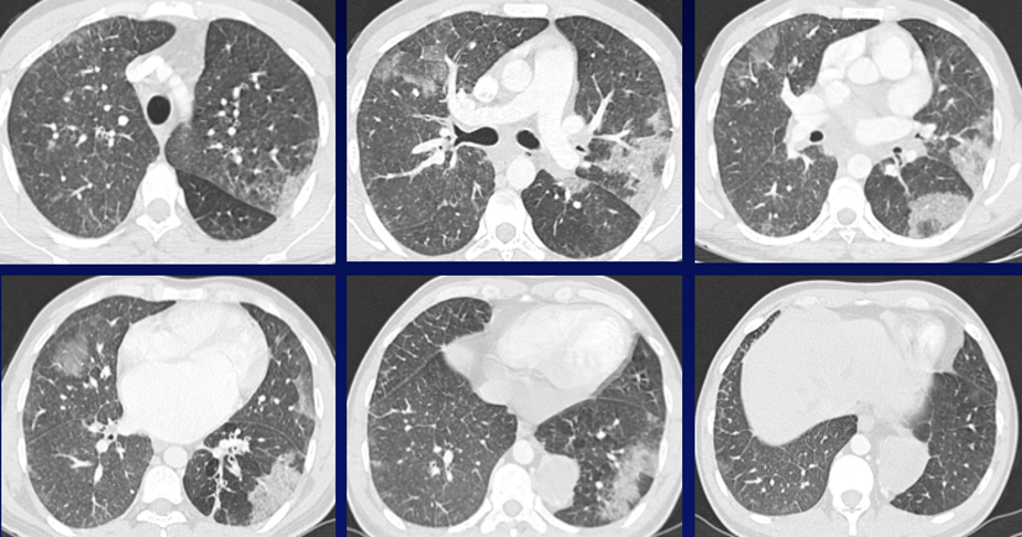
Jeune homme de 27 ans
Hémoptysies de faible abondance
Récidivantes depuis 3 mois avec dyspnée d’effort
Anémie hypochrome microcytaire à 6g/dl
2 / 5
3 / 5
4 / 5
QUEL EST VOTRE DIAGNOSTIC ?
5 / 5
A – Lymphome médiastinal postérieur avec atteinte pulmonaire
B – Maladie de Castelman avec hémorragie alvéolaire
C – Tumeur neurogène avec hémorragie alvéolaire
D – Séquestration intra-lobaire avec œdème pulmonaire et rétrécissement mitral
E – Séquestration extra-lobaire avec œdème pulmonaire, hémorragie alvéolaire et rétrécissement mitral
Pour participer à ce quiz, veuillez vous connecter.
Se connecter
❮
❯