Quiz
QUIZ N° 017
1 / 5
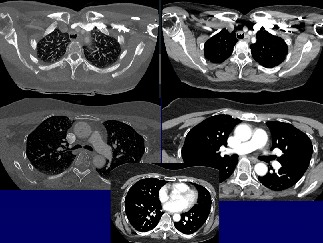
Patiente 29/12/1957 non fumeuse,
ATCD d’EOA T1N0M 1/3 ant corde vocale D TTT : IRX seule, Orthophonie OK
Pas d’Asthme, pas de wheezing.
Pas d’ADP cervicale, pas de dysphonie.
Bilan TDM de suivi à 2 ans, aucun signe fonctionnel clinique. Ex clinique normal.
ATCD d’EOA T1N0M 1/3 ant corde vocale D TTT : IRX seule, Orthophonie OK
Pas d’Asthme, pas de wheezing.
Pas d’ADP cervicale, pas de dysphonie.
Bilan TDM de suivi à 2 ans, aucun signe fonctionnel clinique. Ex clinique normal.
2 / 5
3 / 5
4 / 5
QUEL EST VOTRE DIAGNOSTIC ?
