Accueil
Club Thorax
Mot du président
Membres du bureau
Historique Club Thorax
Statuts
Éditoriaux
En savoir plus
Actualités
Actualités
Évènements à venir
Anciens évènements
Calendrier
Médiathèque
Cas cliniques
Anatomie
Asthme/BPCO
Cœur
Vaisseaux thoraciques
Congénital
Trachée et bronches
Iatrogène
Infectieux
Médiastin
Oncologie
Paroi thoracique /diaphragme
PID / vascularite / connectivite
Plèvre
Transplantation
Urgences thoraciques
Interventionnel
Pédiatrie
Technique / IA
Cours
Anatomie
Asthme/BPCO
Cœur
Vaisseaux thoraciques
Congénital
Trachée et bronches
Iatrogène
Infectieux
Médiastin
Oncologie
Paroi thoracique /diaphragme
PID / vascularite / connectivite
Plèvre
Transplantation
Urgences thoraciques
Interventionnel
Pédiatrie
Technique / IA
Congrès replay
Cliché du Mercredi
Galerie
Connexion
Contact
Quiz
QUIZ N° 002
Accueil
Liste des Quiz
Quiz
Défiler vers le bas
1 / 5
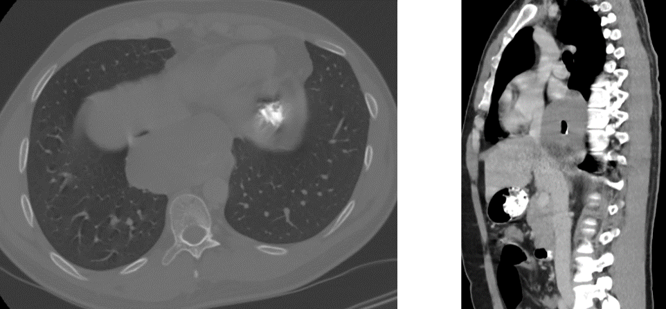
Patient de 35 ans, Pyrosis depuis plusieurs mois.
Pas d'amaigrissement
Patient non fumeur, non OH - non Tabac dépendant Examen clinique négatif. Pas d’ADP de Virchow Troisier.
2 / 5
3 / 5
4 / 5
QUEL EST VOTRE DIAGNOSTIC ?
5 / 5
A – Kyste bronchogénique
B – Œsophagite à éosinophiles de l’adulte
C – Léiomyome
D – Lymphome
E – Mélanome malin de l’oesophage
Pour participer à ce quiz, veuillez vous connecter.
Se connecter
❮
❯