Quiz
QUIZ N° 004
1 / 5
Patiente de 82 ans, sans ATCD particulier, vit seule à domicile, autonome.
Retrouvée dans le coma à domicile. Service Réa appelle pour diagnostic étiologique avant tout résultat biologique.
TDM crâne – et + iv, thorax Abdomen Pelvien au temps portal, scanner spectral.
Examen neurologique normal sans signe de focalisation.
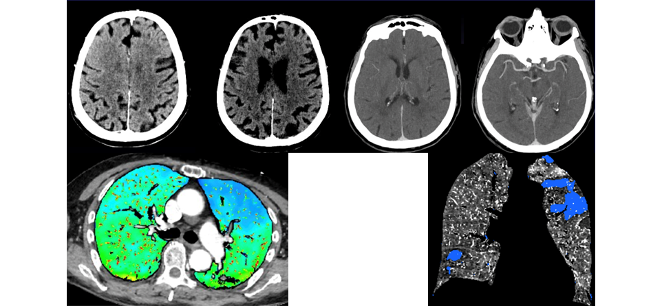
======== Scanner cérébral ========
Pas de signes d'HTIC.
Pas d'AVC ischémique ou hémorragique.
Atrophie avec leucoaréiose banale.
Pas d'oedème intra-cérébral.
Pas de prise de contraste focale anomale.
Retrouvée dans le coma à domicile. Service Réa appelle pour diagnostic étiologique avant tout résultat biologique.
TDM crâne – et + iv, thorax Abdomen Pelvien au temps portal, scanner spectral.
Examen neurologique normal sans signe de focalisation.
======== Scanner cérébral ========
Pas de signes d'HTIC.
Pas d'AVC ischémique ou hémorragique.
Atrophie avec leucoaréiose banale.
Pas d'oedème intra-cérébral.
Pas de prise de contraste focale anomale.
2 / 5
3 / 5
4 / 5
QUEL EST VOTRE DIAGNOSTIC ?
