Quiz
QUIZ N° 006
1 / 5
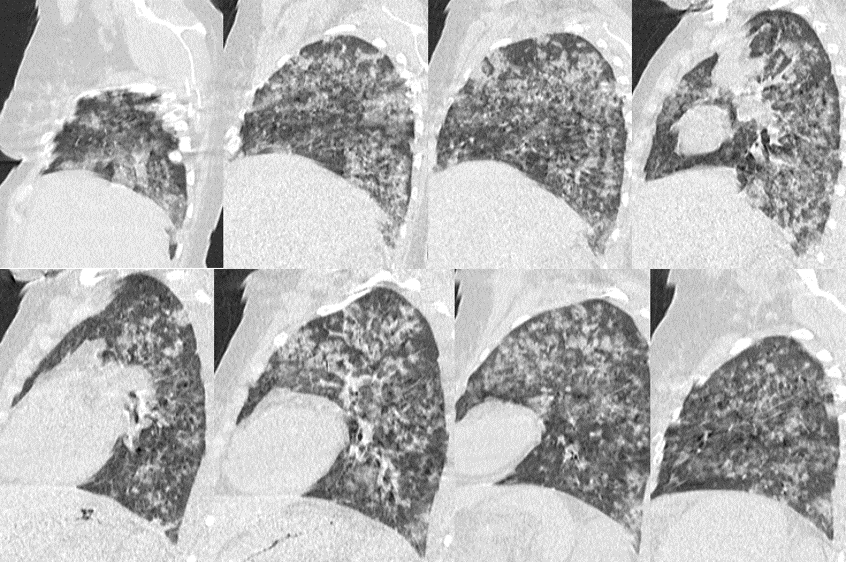
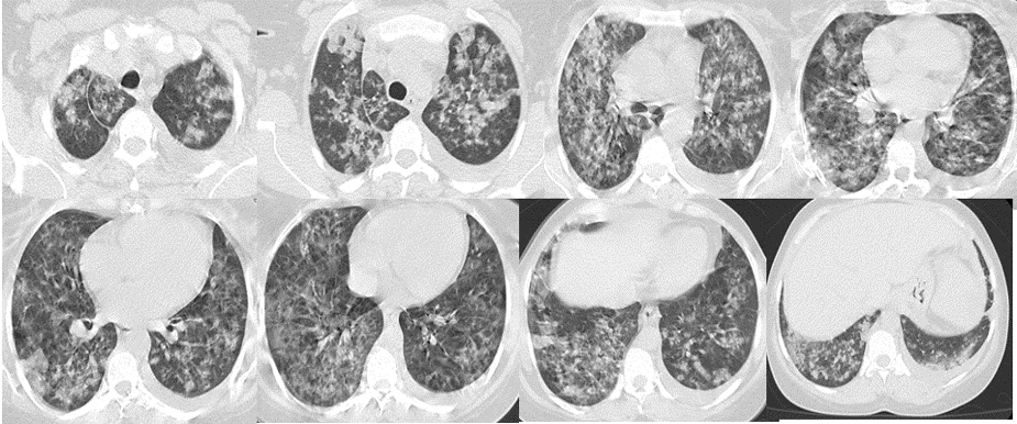
Femme, 45 ans, Suivie pour LAM depuis un mois
Hospitalisée depuis une semaine pour une chimiothérapie d’induction (Aracytine + anthracycline)
Bilan à l’admission
GB: 173 190/ul, Hb: 6g/dl, Pq: 30 000/ul, CRP: 202mg/L, TP: 57%
Apres 5 jours:
Dyspnée stade IV sans douleurs thoraciques, Hémoptysie de grande abondance
Apyrétique, SaO2: 84% , TA: 12/8, FC: 120 bpm, FR: 30
Hospitalisée depuis une semaine pour une chimiothérapie d’induction (Aracytine + anthracycline)
Bilan à l’admission
GB: 173 190/ul, Hb: 6g/dl, Pq: 30 000/ul, CRP: 202mg/L, TP: 57%
Apres 5 jours:
Dyspnée stade IV sans douleurs thoraciques, Hémoptysie de grande abondance
Apyrétique, SaO2: 84% , TA: 12/8, FC: 120 bpm, FR: 30
2 / 5
3 / 5
4 / 5
QUEL EST VOTRE DIAGNOSTIC ?
