Quiz
QUIZ N° 008
1 / 5
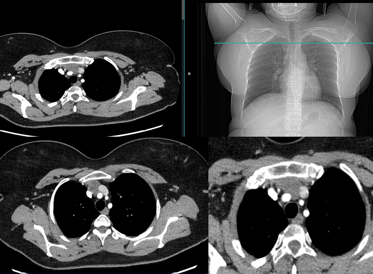
Femme 46ans (DN 11/1975)
Gêne thorax sans dyspnée.
Pas d'antécédent
Bon état général
Auscultation: normale
Sat O2 air ambiant: 98%
Masse 38 x 21 x 24mm
Parenchyme pulmonaire - pas de nodule - Pas d'épanchement des séreuses - Hépatomégalie homogène
Gêne thorax sans dyspnée.
Pas d'antécédent
Bon état général
Auscultation: normale
Sat O2 air ambiant: 98%
Masse 38 x 21 x 24mm
Parenchyme pulmonaire - pas de nodule - Pas d'épanchement des séreuses - Hépatomégalie homogène
2 / 5
3 / 5
4 / 5
QUEL EST VOTRE DIAGNOSTIC ?
